Leprosy Hand Deformities
Much of the nerve damage occurs during a type of immunologic problem that occurs in 25 to 50 of patients during treatment and is commonly known as a reaction.
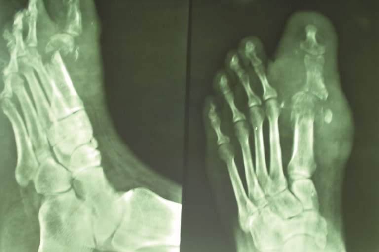
Leprosy hand deformities. It can affect the skin and the nerves of the hands and feet as well as the eyes and the lining of the nose. Hand problems in leprosy patients hands are affected because of damage to nerves supplying them or directly affected by reactional processespecially in bl ll ulnar nerve is affected most often than others in blll cases usually glove type extensive acral anesthesia occurs without significant motor involvement. Deformities of the hands and feet may result from muscle paralysis and repeated trauma that is not felt due to sensory loss.
Typical hand deformities in cmt include intrinsic muscle wasting along with mcp hyperextension that limits finger flexion and impairs prehension. At this late stage the digits have been almost fully resorbed except for the index finger and the proximal remnant of the thumb. There is also a granulomatous inflammatory lesion located on the palmar surface.
The most serious complication of leprosy is the nerve damage that may occur sometimes even after treatment is begun. Little information exists on deformities in lep. This image depicts the ventral surface of the right hand of a patient with a case of multibacillary leprosy.
Hands deformities claw hand wrist drop ulcers absorption of digits thumb web contracture hollowing of the interossecus spaces and swollen hand. Leprosy is also called hansens disease. In some cases leprosy can also affect other organs such as the kidneys and testicles in men.
Backgrounddisability assessment in leprosy patients is a very important factor in the evaluation of the effectiveness of a leprosy elimination program. An appropriate intervention is the zancolli lasso technique a procedure that has commonly been used to restore synchronous finger flexion to patients with lepromatous claw hands. Feet deformities planter ulcer foot drop inversion of the foot clawing of the toes absorption of the toes collapsed foot swollen foot and callosities.
