Lepra Y Psoriasis
We also did a review on the hypothesis which states that psoriasis protects from clinic.
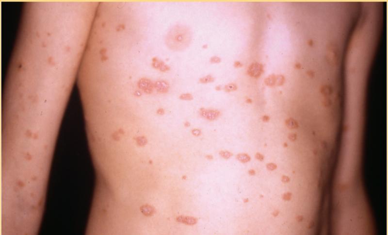
Lepra y psoriasis. We present a case of a patient of psoriasis who was treated and developed leprosy. We present a case of a patient of psoriasis who was treated and developed leprosy. La psoriasis es causada por un mal funcionamiento en el sistema inmune de su cuerpo y no es contagiosa.
Psoriasis and leprosy are almost mutually exclusive with the prevalence of psoriasis in leprosy patients being as low as 0014. La lepra y la psoriasis ambas causan lesiones en la piel pero son enfermedades muy diferentes. La lepra es causada por bacterias y es contagiosa.
Among the various forms of psoriasis associated with leprosy the coexistence of erythrodermic psoriasis with leprosy is rare. Psoriasis is caused by a malfunction in your bodys immune system and isnt contagious. We also did a review on the.
Psoriasis and leprosy exist mutually exclusively with only a few cases being reported regarding their coexistence. Leprosy is caused. Herein we describe a case of erythrodermic psoriasis in a patient with leprosy.
